JFE-TEC News
KTEC News
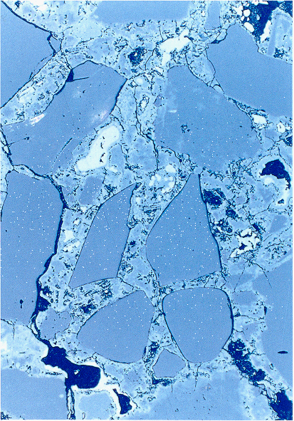
No.1 製鉄遺跡から出土した鉄滓の結晶組織
"KTEC News"は、旧・川鉄テクノリサーチ(株)が年4回発行していた小冊子です。バックナンバーとして掲載しておりますが、現在お取り扱いしていない製品・サービスの場合もございますので、ご了承ください。
古代の遺跡の中に日本人のルーツを探るのは現代に生きる我々のロマンである。
ともすれば見過ごされてしまうような土くれ同然のものの中に、小さな手がかりを見出したとき、それが偶然であれ計画的なものであれ、大きな喜びを与えてくれる。 ここに示した写真もその一つである。


福島県で見つかった製鉄遺跡の中から得られた鉄を作るために砂鉄を精錬した跡のかす、すなわち鉄滓と呼ばれるものの顕微鏡組織(約600倍)である。 酸化鉄の他に、酸化チタン、ケイ酸、酸化アルミニウム等が含まれている。
左側のものは、ケイ酸の含有率がやや高く、ほぼ完全に融解したのち凝固したもので、高温で生成したものと考えられる。
右側のものは、酸化チタンの含有率がかなり高く、低音で半融解状態で成長したもので、 結晶粒子の間にもとの鉱石の状態に近い組織が見られる。 古代の鉄剣のようにスポットライトをあびる華やかさはないが、この模様の美しさの中に、古代の人々の鉄を作る技術を培ってきた汗と情熱を感じることが出来る。 現代の先端技術は、これらの遺跡の手掛かりから、多くの情報-何が作られていたか(玉鋼、銑鉄、鋳物、鍛造品等)、原料の種類、温度-を得られる手段を与えてくれている。今後も技術的な手法の進歩とともに、さらに奥深くルーツを探ることが可能になろう。
(写真は福島県文化センターのご好意により掲載させていただきました。)
このページに関する
お問い合わせはこちらから
- JFEテクノリサーチ株式会社 営業総括部
- 0120-643-777